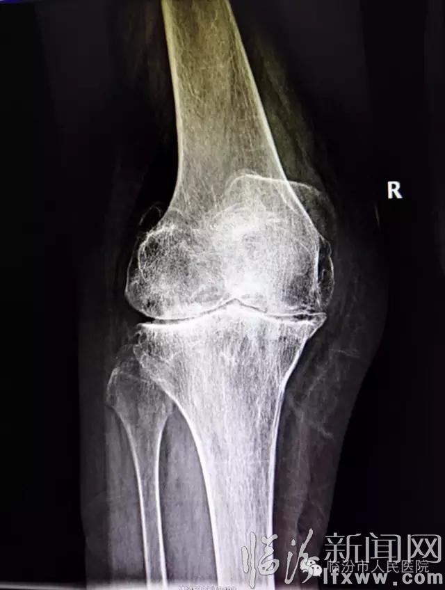
临汾新闻网讯 近日,临汾市人民医院骨科主任刘建团队完成膝关节强直畸形人工全膝关节置换术。

膝关节强直多由膝关节创伤、手术、感染等原因所引起,膝关节强直性畸形使患者的生活质量严重下降,随着人工全膝关节置换技术的提高,此手术已应用于这一领域。

膝关节强直畸形患者行人工全膝关节置换术难度较大,技术要求很高,需要有丰富经验的医生才能够完成。以往强直膝患者均需到上级医院进行手术,随着市医院骨科技术的提高,目前已可独立完成膝关节强直的膝关节表面置换手术。且术后患者均恢复良好,得到了满意的效果,大大方便了患者的诊治过程,同时表明市医院关节外科技术在省内已处于先进水平。(市医院骨科)

责任编辑:王晓娜